Klinika implantologii w Lublinie oferuje szereg korzyści dla pacjentów, którzy potrzebują leczenia stomatologicznego. Przede wszystkim, implanty zębowe są trwałym rozwiązaniem, które pozwala na przywrócenie funkcji żucia oraz estetyki uśmiechu. W przeciwieństwie do tradycyjnych protez, implanty są osadzone bezpośrednio w kości szczęki, co zapewnia większą stabilność i komfort noszenia. Dzięki nowoczesnym technologiom stosowanym w klinikach implantologicznych, proces wszczepienia implantów jest znacznie mniej inwazyjny niż kiedyś. W Lublinie wiele klinik dysponuje zaawansowanym sprzętem diagnostycznym, który umożliwia precyzyjne planowanie zabiegów oraz minimalizację ryzyka powikłań. Dodatkowo, pacjenci mogą liczyć na profesjonalną opiekę przed i po zabiegu, co zwiększa ich poczucie bezpieczeństwa. Warto również zwrócić uwagę na dostępność różnych metod znieczulenia, które sprawiają, że zabieg jest komfortowy i bezbolesny.
Jak wygląda proces leczenia w klinice implantologii w Lublinie
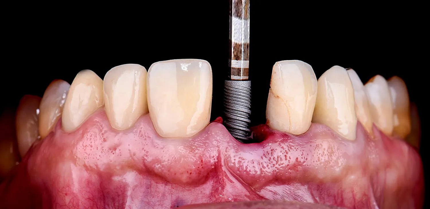
Proces leczenia w klinice implantologii w Lublinie zazwyczaj rozpoczyna się od dokładnej konsultacji stomatologicznej. Podczas pierwszej wizyty lekarz ocenia stan zdrowia jamy ustnej pacjenta oraz wykonuje niezbędne badania diagnostyczne, takie jak zdjęcia rentgenowskie czy tomografia komputerowa. Na podstawie tych informacji lekarz opracowuje indywidualny plan leczenia, który uwzględnia potrzeby i oczekiwania pacjenta. Następnie przeprowadza się zabieg wszczepienia implantu, który polega na umieszczeniu tytanowego słupka w kości szczęki. Po tym etapie następuje okres gojenia, który może trwać od kilku tygodni do kilku miesięcy, w zależności od indywidualnych warunków anatomicznych pacjenta oraz rodzaju zastosowanego implantu. Po zagojeniu tkanki kostnej następuje etap mocowania korony protetycznej na implancie, co kończy cały proces leczenia.
Jak wybrać najlepszą klinikę implantologii w Lublinie

Wybór odpowiedniej kliniki implantologii w Lublinie jest kluczowy dla sukcesu całego procesu leczenia. Przede wszystkim warto zwrócić uwagę na doświadczenie i kwalifikacje personelu medycznego. Dobrym pomysłem jest poszukiwanie klinik, które mają pozytywne opinie od pacjentów oraz wysoką renomę w branży stomatologicznej. Ważnym aspektem jest również wyposażenie kliniki w nowoczesny sprzęt diagnostyczny i chirurgiczny, co może znacząco wpłynąć na jakość świadczonych usług. Kolejnym czynnikiem jest lokalizacja kliniki oraz jej dostępność – warto wybrać miejsce, które nie będzie sprawiało problemów z dojazdem. Dobrze jest również zapoznać się z ofertą finansową kliniki i sprawdzić, czy oferowane są różne opcje płatności lub programy ratalne.
Jakie są najczęstsze pytania dotyczące kliniki implantologii w Lublinie
Pacjenci często mają wiele pytań dotyczących kliniki implantologii w Lublinie przed podjęciem decyzji o leczeniu. Jednym z najczęściej zadawanych pytań jest to, jak długo trwa proces wszczepienia implantu oraz jakie są etapy tego zabiegu. Wiele osób interesuje się także tym, czy zabieg jest bolesny i jakie metody znieczulenia są stosowane przez lekarzy. Inne pytania dotyczą kosztów związanych z leczeniem – pacjenci chcą wiedzieć, jakie są ceny implantu oraz czy istnieją możliwości finansowania lub ratalnego zakupu usług stomatologicznych. Często pojawia się również obawa o ewentualne powikłania po zabiegu oraz czas rekonwalescencji. Pacjenci zastanawiają się także nad tym, jak dbać o implanty po ich wszczepieniu oraz jakie są zalecenia dotyczące higieny jamy ustnej.
Jakie technologie są stosowane w klinikach implantologii w Lublinie
Kliniki implantologii w Lublinie korzystają z najnowszych technologii, które znacząco poprawiają jakość leczenia oraz komfort pacjentów. Jedną z najważniejszych innowacji jest wykorzystanie cyfrowego planowania zabiegów, które pozwala na precyzyjne zaplanowanie umiejscowienia implantu w jamie ustnej. Dzięki temu lekarze mogą dokładnie określić, jakie są najlepsze warunki anatomiczne dla wszczepienia implantu, co minimalizuje ryzyko powikłań. Wiele klinik stosuje również technologię 3D, która umożliwia stworzenie trójwymiarowego modelu szczęki pacjenta. Taki model pozwala na lepsze zrozumienie indywidualnych potrzeb pacjenta oraz dokładniejsze wykonanie zabiegu. Kolejną nowinką są implanty wykonane z materiałów biokompatybilnych, które zmniejszają ryzyko odrzutu przez organizm i przyspieszają proces gojenia. Warto również wspomnieć o zastosowaniu laserów w stomatologii, które umożliwiają przeprowadzanie zabiegów w sposób mniej inwazyjny i bardziej komfortowy dla pacjentów.
Jakie są opinie pacjentów o klinikach implantologii w Lublinie
Opinie pacjentów na temat klinik implantologii w Lublinie są niezwykle istotnym źródłem informacji dla osób rozważających leczenie. Wiele osób dzieli się swoimi doświadczeniami na forach internetowych oraz w mediach społecznościowych, co pozwala innym na lepsze zrozumienie jakości usług świadczonych przez konkretne placówki. Pacjenci często chwalą sobie profesjonalizm personelu medycznego oraz wysoką jakość obsługi klienta. Wiele pozytywnych recenzji dotyczy także komfortu podczas zabiegów oraz skuteczności leczenia. Osoby, które skorzystały z usług klinik implantologicznych w Lublinie, często podkreślają znaczenie indywidualnego podejścia do pacjenta oraz szczegółowego wyjaśnienia wszystkich etapów leczenia. Nie brakuje jednak także negatywnych opinii, które mogą dotyczyć wysokich kosztów usług lub długiego czasu oczekiwania na wizytę.
Jakie są koszty leczenia w klinice implantologii w Lublinie
Koszty leczenia w klinice implantologii w Lublinie mogą się znacznie różnić w zależności od wielu czynników. Przede wszystkim cena uzależniona jest od rodzaju zastosowanego implantu oraz dodatkowych procedur, które mogą być konieczne przed wszczepieniem implantu. Na ogół ceny wahają się od kilku do kilkunastu tysięcy złotych za jeden implant, a do tego należy doliczyć koszty konsultacji, badań diagnostycznych oraz ewentualnych koron protetycznych. Warto zwrócić uwagę na to, że wiele klinik oferuje różne opcje finansowania, takie jak płatności ratalne czy programy lojalnościowe dla pacjentów. Dzięki temu leczenie staje się bardziej dostępne dla osób z ograniczonym budżetem. Dodatkowo niektóre placówki oferują promocje lub zniżki dla nowych pacjentów lub przy większej liczbie wszczepianych implantów jednocześnie.
Jak dbać o zdrowie jamy ustnej po wszczepieniu implantu
Dbanie o zdrowie jamy ustnej po wszczepieniu implantu jest kluczowe dla jego długotrwałego sukcesu oraz zachowania ogólnego zdrowia zębów i dziąseł. Po zabiegu lekarz zazwyczaj udziela szczegółowych wskazówek dotyczących higieny jamy ustnej. Należy pamiętać o regularnym szczotkowaniu zębów co najmniej dwa razy dziennie oraz stosowaniu nici dentystycznej do czyszczenia przestrzeni międzyzębowych. Ważne jest również unikanie twardych pokarmów przez pierwsze kilka tygodni po zabiegu, aby nie obciążać świeżo wszczepionego implantu. Regularne wizyty kontrolne u stomatologa są niezbędne do monitorowania stanu implantu oraz ogólnego zdrowia jamy ustnej. Lekarz może zalecić także stosowanie specjalnych preparatów do pielęgnacji jamy ustnej, które pomogą utrzymać odpowiednią higienę i zapobiegać infekcjom. Pacjenci powinni również unikać palenia papierosów oraz nadmiernego spożycia alkoholu, ponieważ te czynniki mogą negatywnie wpływać na proces gojenia i trwałość implantu.
Jak przebiega rehabilitacja po zabiegach implantologicznych w Lublinie
Rehabilitacja po zabiegach implantologicznych w Lublinie jest istotnym elementem procesu leczenia, który ma na celu zapewnienie prawidłowego gojenia i integracji implantu z kością szczęki. Po wszczepieniu implantu pacjent powinien przestrzegać zaleceń lekarza dotyczących diety oraz aktywności fizycznej przez określony czas. W pierwszych dniach po zabiegu zaleca się odpoczynek oraz unikanie intensywnego wysiłku fizycznego, aby nie obciążać miejsca wszczepienia. Warto również stosować zimne okłady na obszar operacyjny, aby zmniejszyć obrzęk i ból. Po kilku dniach lekarz może zalecić stopniowe zwiększanie aktywności fizycznej oraz powrót do normalnej diety, jednak należy unikać twardych pokarmów przez kilka tygodni. Regularne wizyty kontrolne są kluczowe dla oceny postępu gojenia oraz ewentualnego wykrycia komplikacji na wczesnym etapie.
Jak przygotować się do wizyty w klinice implantologii w Lublinie
Przygotowanie się do wizyty w klinice implantologii w Lublinie jest kluczowe dla uzyskania jak najlepszych efektów leczenia oraz komfortu podczas konsultacji. Przed wizytą warto zgromadzić wszystkie niezbędne dokumenty medyczne, takie jak wyniki badań diagnostycznych czy informacje o wcześniejszych schorzeniach stomatologicznych. Dobrze jest również spisać pytania dotyczące planowanego leczenia oraz oczekiwań wobec zabiegów implantologicznych – to pomoże lepiej komunikować się z lekarzem i uzyskać pełniejsze informacje na temat proponowanych rozwiązań. Warto również zastanowić się nad swoim budżetem na leczenie i zapytać o dostępne opcje finansowania podczas wizyty. Przygotowanie psychiczne jest równie ważne – warto dowiedzieć się jak najwięcej o przebiegu zabiegów i metodach znieczulenia, aby poczuć się pewniej przed nadchodzącym leczeniem.





