Implanty zębów w Szczecinie to coraz bardziej popularne rozwiązanie dla osób borykających się z problemem utraty zębów. Jedną z głównych zalet tego typu leczenia jest ich trwałość. Implanty wykonane są z materiałów biokompatybilnych, co oznacza, że organizm nie odrzuca ich, a odpowiednio założone mogą służyć przez wiele lat, a nawet całe życie. Kolejnym atutem jest estetyka. Implanty wyglądają jak naturalne zęby, co pozwala pacjentom na odzyskanie pewności siebie i komfortu w codziennym życiu. Warto również zwrócić uwagę na funkcjonalność implantów. Dzięki nim można przywrócić pełną zdolność do żucia, co ma ogromne znaczenie dla jakości życia. Dodatkowo, implanty pomagają w zachowaniu struktury kości szczęki, co zapobiega jej zanikanie, które często występuje po utracie zęba.
Jak wygląda proces zakupu implantów zębów w Szczecinie
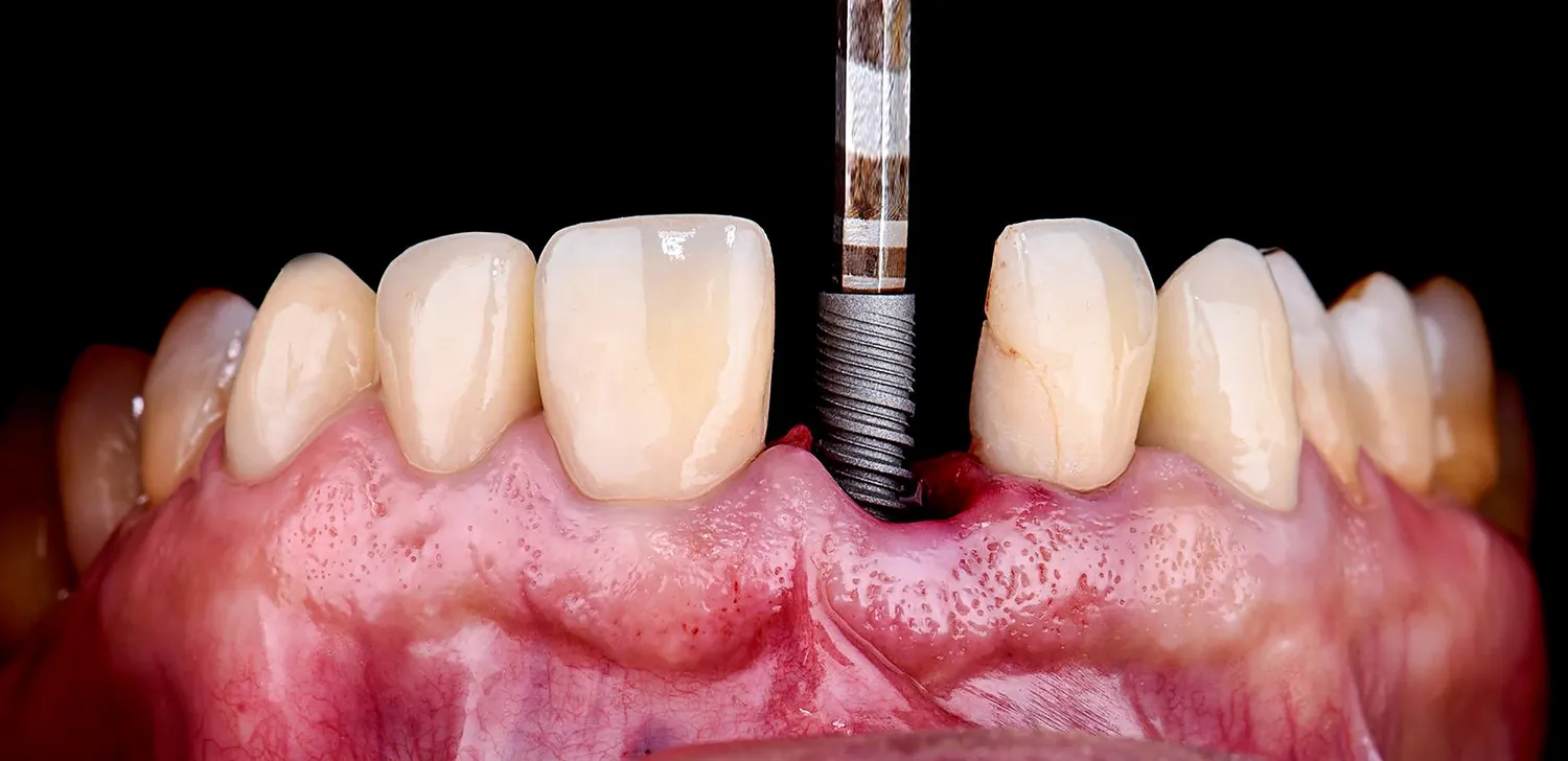
Proces zakupu implantów zębów w Szczecinie rozpoczyna się od wizyty u stomatologa, który oceni stan zdrowia jamy ustnej pacjenta oraz przeprowadzi szczegółowe badania diagnostyczne. Na podstawie tych informacji lekarz podejmie decyzję o konieczności wszczepienia implantu oraz dobierze odpowiednią metodę leczenia. Następnie pacjent zostaje poinformowany o kosztach oraz czasie trwania całego procesu. Warto zaznaczyć, że w Szczecinie wiele klinik oferuje różne opcje finansowania, co może ułatwić podjęcie decyzji o leczeniu. Po zaakceptowaniu planu leczenia następuje etap chirurgiczny, podczas którego implant jest umieszczany w kości szczęki. Po tym zabiegu następuje okres gojenia, który trwa zazwyczaj kilka miesięcy. W tym czasie implant integruje się z kością, co jest kluczowe dla jego stabilności.
Jakie są koszty związane z implantami zębów w Szczecinie

Koszty związane z implantami zębów w Szczecinie mogą się znacznie różnić w zależności od wielu czynników. Przede wszystkim wpływ na cenę ma wybrana klinika oraz doświadczenie lekarza prowadzącego. Warto zwrócić uwagę na to, że cena jednego implantu może obejmować nie tylko samą procedurę wszczepienia, ale także dodatkowe usługi takie jak konsultacje przed zabiegiem oraz późniejsze wizyty kontrolne. Dodatkowo należy uwzględnić koszty materiałów użytych do produkcji implantu oraz korony protetycznej. W Szczecinie ceny za jeden implant mogą zaczynać się od kilku tysięcy złotych i wzrastać w zależności od zastosowanej technologii oraz jakości materiałów. Niektóre kliniki oferują możliwość rozłożenia płatności na raty lub współpracują z instytucjami finansowymi, co może być korzystnym rozwiązaniem dla pacjentów obawiających się wysokich kosztów jednorazowych.
Jakie są opinie pacjentów na temat implantów zębów w Szczecinie
Opinie pacjentów na temat implantów zębów w Szczecinie są zazwyczaj pozytywne i świadczą o wysokiej jakości usług stomatologicznych dostępnych w tym mieście. Wielu pacjentów podkreśla znaczenie profesjonalizmu lekarzy oraz komfortu podczas całego procesu leczenia. Często wspominają oni o indywidualnym podejściu do ich potrzeb oraz o szczegółowym informowaniu o każdym etapie zabiegu. Pacjenci cenią sobie również estetykę uzyskanych efektów – wiele osób zauważa, że implanty wyglądają naturalnie i pozwalają im na swobodne uśmiechanie się bez obaw o wygląd uzębienia. Wiele osób zwraca także uwagę na poprawę jakości życia po wszczepieniu implantów – możliwość swobodnego jedzenia ulubionych potraw czy brak dyskomfortu podczas mówienia to aspekty, które mają ogromne znaczenie dla codziennego funkcjonowania.
Jakie są najnowsze technologie w implantologii w Szczecinie
W Szczecinie, podobnie jak w wielu innych miastach, rozwój technologii w dziedzinie implantologii przynosi pacjentom coraz to nowsze i bardziej zaawansowane rozwiązania. Jednym z najważniejszych osiągnięć jest zastosowanie technologii cyfrowej w planowaniu zabiegów. Dzięki skanowaniu 3D jamy ustnej oraz obrazowaniu komputerowemu lekarze mogą dokładnie zaplanować miejsce wszczepienia implantu, co zwiększa precyzję zabiegu i minimalizuje ryzyko powikłań. Wiele klinik w Szczecinie korzysta także z technologii CAD/CAM, która pozwala na szybkie i dokładne wykonanie koron protetycznych. Dzięki temu pacjenci mogą cieszyć się nowymi zębami w krótszym czasie, a proces ich produkcji jest bardziej efektywny. Innowacyjne materiały, takie jak tytan czy ceramika, również przyczyniają się do poprawy jakości implantów. Tytan jest materiałem niezwykle trwałym i biokompatybilnym, co sprawia, że implanty wykonane z tego surowca mają wysoką odporność na korozję oraz doskonałą integrację z kością.
Jakie są przeciwwskazania do wszczepienia implantów zębów w Szczecinie
Przed podjęciem decyzji o wszczepieniu implantów zębów w Szczecinie warto znać potencjalne przeciwwskazania, które mogą wpłynąć na możliwość przeprowadzenia zabiegu. Jednym z najczęstszych czynników ograniczających jest stan zdrowia pacjenta. Osoby cierpiące na choroby przewlekłe, takie jak cukrzyca czy choroby serca, powinny skonsultować się ze swoim lekarzem przed podjęciem decyzji o leczeniu implantologicznym. Ponadto, palenie tytoniu może negatywnie wpływać na proces gojenia się tkanek oraz integrację implantu z kością. Dlatego wielu stomatologów zaleca zaprzestanie palenia na kilka tygodni przed i po zabiegu. Kolejnym istotnym czynnikiem jest stan kości szczęki – jeśli kość jest zbyt cienka lub osłabiona, może być konieczne przeprowadzenie dodatkowych zabiegów, takich jak augmentacja kości, co wydłuża czas leczenia i zwiększa jego koszty.
Jak dbać o implanty zębów po zabiegu w Szczecinie
Prawidłowa pielęgnacja implantów zębów po zabiegu jest kluczowa dla ich długowieczności oraz zdrowia jamy ustnej. Po pierwsze, pacjenci powinni stosować się do zaleceń swojego stomatologa dotyczących higieny jamy ustnej. Regularne szczotkowanie zębów oraz używanie nici dentystycznej to podstawowe zasady, które pomagają utrzymać czystość wokół implantu oraz zapobiegają stanom zapalnym dziąseł. Warto również rozważyć stosowanie płynów do płukania jamy ustnej zawierających składniki antybakteryjne, które mogą pomóc w redukcji bakterii w jamie ustnej. Kontrolne wizyty u stomatologa są równie istotne – regularne przeglądy pozwalają na szybką identyfikację ewentualnych problemów związanych z implantem oraz otaczającymi go tkankami. Pacjenci powinni także unikać twardych pokarmów przez pierwsze dni po zabiegu oraz stosować się do zaleceń dotyczących diety.
Jakie są alternatywy dla implantów zębów w Szczecinie
Dla osób, które nie mogą lub nie chcą zdecydować się na implanty zębów w Szczecinie istnieje kilka alternatywnych rozwiązań protetycznych. Jednym z najpopularniejszych są mosty protetyczne, które pozwalają na uzupełnienie brakujących zębów poprzez osadzenie ich na zdrowych zębach sąsiednich. Mosty są tańszą opcją niż implanty i mogą być wykonane w krótszym czasie, jednak wymagają szlifowania zdrowych zębów, co może być dla niektórych pacjentów niekomfortowe. Innym rozwiązaniem są protezy ruchome lub stałe, które również pozwalają na uzupełnienie brakujących zębów. Protezy są łatwe do usunięcia i czyszczenia, ale mogą być mniej stabilne niż implanty czy mosty protetyczne. Warto również wspomnieć o nowoczesnych technologiach takich jak nakładki na zęby czy licówki kompozytowe, które mogą poprawić estetykę uśmiechu bez konieczności wszczepiania implantów.
Jak znaleźć najlepszą klinikę stomatologiczną oferującą implanty w Szczecinie

Jakie pytania zadawać podczas konsultacji przed zabiegiem implantacji
Podczas konsultacji przed zabiegiem wszczepienia implantów zębów warto przygotować listę pytań, które pomogą rozwiać wszelkie wątpliwości i zapewnią pełną informację o planowanym leczeniu. Po pierwsze warto zapytać o doświadczenie lekarza prowadzącego – jakie ma on kwalifikacje i ile zabiegów już wykonał? Następnie dobrze jest dowiedzieć się o całym procesie leczenia – jakie będą kolejne etapy oraz jak długo potrwa cały proces od konsultacji do zakończenia leczenia? Ważne jest także zapytanie o możliwe ryzyka i powikłania związane z zabiegiem oraz jak wygląda proces gojenia po wszczepieniu implantu. Pacjenci powinni również dopytać o koszty związane z leczeniem – jakie są całkowite wydatki oraz czy istnieje możliwość rozłożenia płatności na raty? Nie można zapominać o pytaniach dotyczących pielęgnacji implantu po zabiegu – jakie środki higieniczne będą zalecane oraz jak często powinno się odbywać kontrolne wizyty u stomatologa?





