Stomatologia to dziedzina medycyny, która zajmuje się diagnostyką, leczeniem oraz profilaktyką chorób jamy ustnej, zębów i tkanek przyzębia. W ramach stomatologii wyróżnia się kilka specjalizacji, które koncentrują się na różnych aspektach zdrowia jamy ustnej. Do najważniejszych z nich należy stomatologia ogólna, która obejmuje podstawowe zabiegi takie jak przeglądy dentystyczne, leczenie próchnicy czy usuwanie zębów. Kolejną istotną gałęzią jest ortodoncja, która zajmuje się korygowaniem wad zgryzu oraz ustawienia zębów za pomocą aparatów ortodontycznych. Stomatologia dziecięca to kolejna specjalizacja, która koncentruje się na zdrowiu jamy ustnej najmłodszych pacjentów, uwzględniając ich specyficzne potrzeby oraz lęki związane z wizytami u dentysty. Warto również wspomnieć o periodontologii, która bada choroby tkanek otaczających zęby oraz implantologii, zajmującej się wszczepianiem implantów dentystycznych.
Jakie są najczęstsze problemy stomatologiczne i ich objawy
W praktyce stomatologicznej występuje wiele problemów zdrowotnych, które mogą dotknąć pacjentów w różnym wieku. Najczęściej spotykanym schorzeniem jest próchnica, która objawia się bólami zębów oraz widocznymi ubytkami w szkliwie. Próchnica powstaje na skutek działania bakterii, które produkują kwasy rozkładające szkliwo zęba. Innym powszechnym problemem są choroby przyzębia, takie jak zapalenie dziąseł czy paradontoza, które mogą prowadzić do utraty zębów. Objawami tych schorzeń są krwawienie dziąseł, ich obrzęk oraz nieprzyjemny zapach z ust. W przypadku ortodoncji często spotykanym problemem są wady zgryzu, które mogą powodować dyskomfort podczas jedzenia i mówienia. Pacjenci zgłaszają również bóle głowy czy napięcia mięśniowe związane z niewłaściwym ustawieniem zębów. Warto także zwrócić uwagę na problemy związane ze stawem skroniowo-żuchwowym, które mogą objawiać się bólem podczas otwierania ust czy trzaskami w stawie.
Jakie są metody leczenia w stomatologii i ich skuteczność

Leczenie w stomatologii opiera się na różnych metodach terapeutycznych dostosowanych do rodzaju schorzenia oraz indywidualnych potrzeb pacjenta. W przypadku próchnicy najczęściej stosuje się wypełnienia kompozytowe lub amalgamatowe, które pozwalają na odbudowę uszkodzonego zęba. W bardziej zaawansowanych przypadkach konieczne może być leczenie kanałowe, polegające na usunięciu chorej miazgi zęba oraz jego uszczelnieniu. Ortodoncja wykorzystuje aparaty stałe lub ruchome do korekcji wad zgryzu, co wymaga regularnych wizyt kontrolnych oraz dostosowywania aparatu do zmieniającej się sytuacji w jamie ustnej pacjenta. W przypadku chorób przyzębia kluczowe jest wdrożenie odpowiedniej higieny jamy ustnej oraz zabiegów takich jak skaling czy kiretaż. Implantologia oferuje nowoczesne rozwiązania dla osób z brakującymi zębami poprzez wszczepienie implantów dentystycznych, które stanowią trwałą alternatywę dla protez.
Dlaczego regularne wizyty u stomatologa są tak ważne
Regularne wizyty u stomatologa odgrywają kluczową rolę w utrzymaniu zdrowia jamy ustnej oraz zapobieganiu poważnym schorzeniom. Dzięki systematycznym przeglądom dentystycznym możliwe jest wczesne wykrycie problemów takich jak próchnica czy choroby przyzębia zanim staną się one bardziej zaawansowane i wymagające skomplikowanego leczenia. Stomatolog podczas wizyty nie tylko ocenia stan uzębienia pacjenta, ale również udziela cennych wskazówek dotyczących higieny jamy ustnej oraz diety wpływającej na zdrowie zębów. Regularne czyszczenie zębów przez specjalistę pozwala na usunięcie kamienia nazębnego i osadów, co znacznie zmniejsza ryzyko wystąpienia chorób przyzębia. Dodatkowo wizyty kontrolne dają możliwość monitorowania postępów leczenia ortodontycznego czy implantologicznego oraz dostosowywania planu terapeutycznego do zmieniających się potrzeb pacjenta.
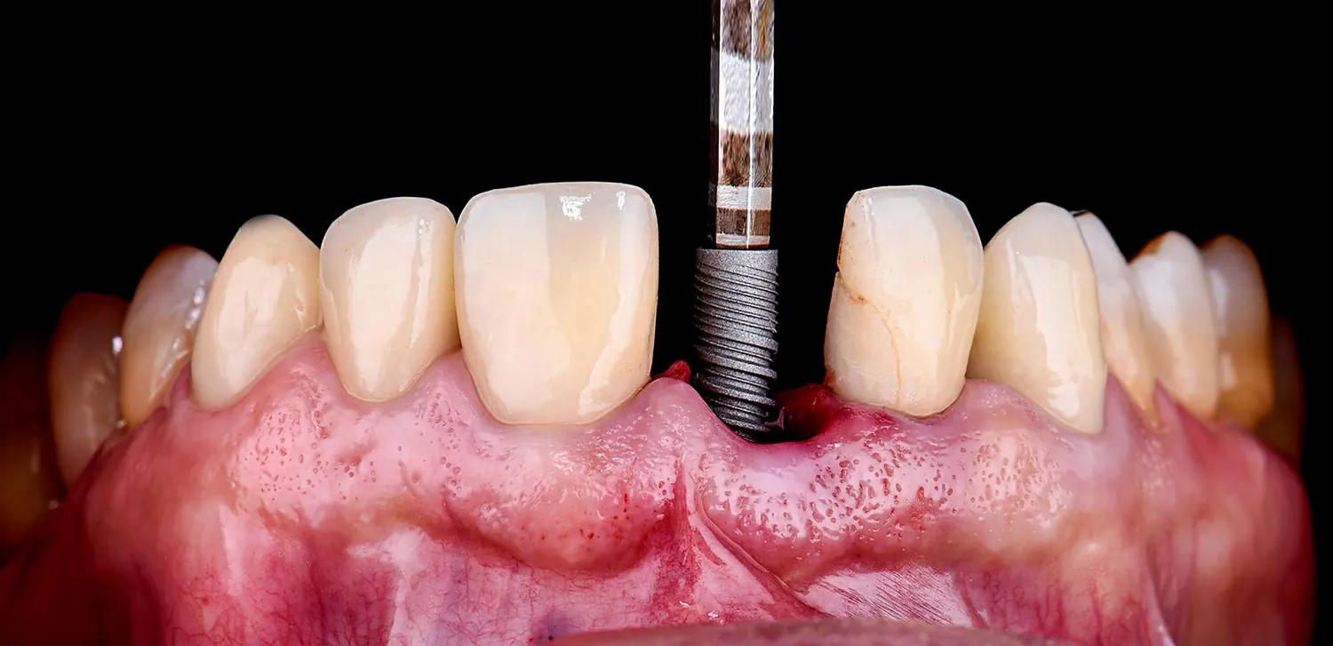
Jakie nowoczesne technologie są wykorzystywane w stomatologii
Nowoczesna stomatologia korzysta z zaawansowanych technologii, które znacząco poprawiają jakość diagnostyki oraz leczenia. Jednym z najważniejszych osiągnięć jest zastosowanie cyfrowych zdjęć rentgenowskich, które pozwalają na uzyskanie wyraźniejszych obrazów zębów i tkanek otaczających. Dzięki temu stomatolodzy mogą dokładniej ocenić stan uzębienia pacjenta oraz szybciej wykrywać problemy, takie jak ubytki czy zmiany chorobowe. Inną innowacją jest wykorzystanie skanera wewnątrzustnego, który umożliwia tworzenie precyzyjnych modeli 3D jamy ustnej bez potrzeby stosowania tradycyjnych odcisków. To znacznie zwiększa komfort pacjentów oraz przyspiesza proces przygotowania do zabiegów ortodontycznych czy protetycznych. W stomatologii estetycznej coraz częściej stosuje się także technologie laserowe, które pozwalają na bezbolesne usuwanie tkanek oraz przeprowadzanie zabiegów wybielania zębów. Lasery są również wykorzystywane w leczeniu chorób przyzębia, co przyczynia się do szybszej regeneracji tkanek i minimalizacji dyskomfortu po zabiegu.
Jakie są najważniejsze zasady higieny jamy ustnej
Dbanie o higienę jamy ustnej jest kluczowym elementem profilaktyki stomatologicznej i wpływa na zdrowie zębów oraz dziąseł. Podstawową zasadą jest regularne szczotkowanie zębów co najmniej dwa razy dziennie, używając pasty zawierającej fluor. Szczotkowanie powinno trwać co najmniej dwie minuty, a technika powinna obejmować zarówno zęby przednie, jak i tylne oraz powierzchnie żujące. Równie ważne jest stosowanie nici dentystycznej lub irygatorów do usuwania resztek pokarmowych oraz płytki nazębnej z przestrzeni międzyzębowych, gdzie szczoteczka nie dociera. Należy również pamiętać o regularnym płukaniu jamy ustnej specjalnymi płynami antybakteryjnymi, które pomagają w walce z bakteriami odpowiedzialnymi za choroby przyzębia i próchnicę. Oprócz codziennej higieny niezwykle istotne jest także ograniczenie spożycia słodyczy oraz napojów gazowanych, które mogą prowadzić do erozji szkliwa i rozwoju próchnicy. Regularne wizyty u stomatologa są również niezbędne do monitorowania stanu zdrowia jamy ustnej oraz wykrywania problemów na wczesnym etapie.
Jakie są korzyści wynikające z leczenia stomatologicznego
Leczenie stomatologiczne przynosi wiele korzyści nie tylko dla zdrowia jamy ustnej, ale także dla ogólnego samopoczucia pacjentów. Przede wszystkim skuteczne leczenie próchnicy czy chorób przyzębia pozwala na uniknięcie bólu i dyskomfortu związanych z problemami dentystycznymi. Zdrowe zęby wpływają na jakość życia, umożliwiając swobodne jedzenie i mówienie bez obaw o ból czy wstyd związany z wyglądem uzębienia. Ponadto estetyczne aspekty leczenia stomatologicznego, takie jak wybielanie zębów czy zakładanie licówek, mogą znacząco poprawić pewność siebie pacjentów i ich postrzeganie własnego wyglądu. Leczenie ortodontyczne korygujące wady zgryzu nie tylko poprawia estetykę uśmiechu, ale także wpływa na prawidłowe funkcjonowanie układu pokarmowego poprzez ułatwienie żucia pokarmu. Dodatkowo zdrowa jama ustna ma pozytywny wpływ na ogólny stan zdrowia organizmu; badania wykazują, że choroby jamy ustnej mogą być powiązane z innymi schorzeniami, takimi jak cukrzyca czy choroby serca.
Jakie są najnowsze trendy w stomatologii estetycznej
Stomatologia estetyczna to dziedzina, która dynamicznie się rozwija i dostosowuje do potrzeb pacjentów poszukujących pięknego uśmiechu. W ostatnich latach zauważalny jest wzrost zainteresowania zabiegami wybielania zębów, które stały się popularne zarówno w gabinetach stomatologicznych, jak i w formie produktów dostępnych do użytku domowego. Wybielanie profesjonalne oferuje szybsze i bardziej trwałe efekty niż metody domowe, co sprawia, że pacjenci chętnie korzystają z tej opcji. Kolejnym trendem są licówki porcelanowe, które pozwalają na korekcję kształtu oraz koloru zębów, dając naturalny efekt estetyczny. Licówki są szczególnie popularne wśród osób pragnących poprawić wygląd swojego uśmiechu bez konieczności przeprowadzania inwazyjnych zabiegów. W ostatnich latach rośnie również zainteresowanie implantologią jako trwałym rozwiązaniem dla osób z brakującymi zębami; implanty dentystyczne zapewniają stabilność oraz naturalny wygląd uzębienia. Warto również zwrócić uwagę na rozwój technologii cyfrowych w planowaniu leczenia estetycznego; skanery 3D umożliwiają precyzyjne dopasowanie licówek czy koron do indywidualnych potrzeb pacjenta.
Jakie są najczęstsze mity dotyczące stomatologii
Wokół stomatologii krąży wiele mitów i nieporozumień, które mogą wpływać na podejście pacjentów do dbania o zdrowie jamy ustnej. Jednym z najczęstszych mitów jest przekonanie, że wystarczy szczotkować zęby raz dziennie; jednak eksperci zalecają szczotkowanie co najmniej dwa razy dziennie oraz stosowanie nici dentystycznej do oczyszczania przestrzeni międzyzębowych. Inny popularny mit dotyczy wybielania zębów; wiele osób uważa, że wszystkie metody wybielające są szkodliwe dla szkliwa, podczas gdy profesjonalne zabiegi przeprowadzane przez dentystów są bezpieczne i skuteczne. Często można spotkać się także z przekonaniem, że jeśli nie odczuwamy bólu, to nasze zęby są zdrowe; niestety wiele problemów dentystycznych rozwija się bezobjawowo aż do momentu zaawansowanego stadium choroby. Kolejnym mitem jest twierdzenie, że dzieci nie muszą dbać o swoje mleczne zęby; tymczasem zdrowe mleczaki mają kluczowe znaczenie dla prawidłowego rozwoju stałych zębów oraz ogólnego zdrowia dziecka.
Jak znaleźć dobrego stomatologa dla siebie
Wybór odpowiedniego stomatologa to kluczowy krok w dbaniu o zdrowie jamy ustnej i komfort podczas wizyt dentystycznych. Istotnym czynnikiem jest rekomendacja ze strony rodziny lub znajomych; osobiste doświadczenia mogą pomóc w podjęciu decyzji o wyborze specjalisty. Warto również zwrócić uwagę na opinie zamieszczane w Internecie; portale medyczne często zawierają recenzje pacjentów dotyczące jakości usług świadczonych przez dentystów oraz atmosfery panującej w gabinetach. Kolejnym krokiem może być umówienie się na konsultację; podczas pierwszej wizyty można ocenić podejście lekarza do pacjenta oraz jego kompetencje zawodowe.





